越南仍未发现候痘病例 但将随时应对猴痘疫情爆发的风险

越南仍未发现候痘病例 但将随时应对猴痘疫情爆发的风险

越南仍未发现候痘病例 但将随时应对猴痘疫情爆发的风险
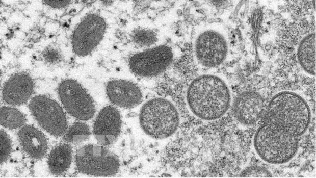
越南仍未发现候痘病例 但将随时应对猴痘疫情爆发的风险 ảnh 1附图:猴痘病毒。 图自越通社

针对猴痘病毒输入我国的风险巨大,特别是欧洲许多国家新增病例猛增,7月24日下午,越南卫生部副部长阮氏莲香主持召开会议,探讨应对猴痘的措施。

会上,医疗专家认为,越南尚未出现猴痘病例,但这种病毒输入我国的风险巨大。

7月23日,世界卫生组织(WHO)总干事谭德塞(Tedros Adhanom Ghebreyesus)宣布,由于传播速度快,可能蔓延到其他国家的风险较高,猴痘疫情已构成“全球公共卫生紧急状态”。

全球猴痘确诊的病例数近16000例,涉及74个国家,其中 5 人死亡,死亡率是三千分之一。

世界卫生组织驻越南流行病专家杜鸿轩表示,越南尚未报告病例,但这只是时间问题,也可能已存在社区传播。 我们需要采取筛查与预防措施,保护高危医护人员。

越南卫生部预防卫生局副局长阮良心表示,泰国和新加坡等越南周边的国家已出现猴痘确诊病例,虽然,世界卫生组织将越南列入尚未报告猴痘确诊病例的国家名单,但从今年4月起,越南取消了对所有国际游客的健康申报要求,因此,包括已出现猴痘病例的国家在内的其他国家人员可以轻松进入越南。

为主动发现与阻止疑似患有跨境传染病例,预防卫生局建议国际卫生检疫中心和各省市疾病控制中心严格且全面对人员、车辆和货物进行卫生检疫活动,及时处理疫情爆发的危机,主动从容应对。(越通社/民族与山区画报)

VNA

推荐

芒勒县赫蒙族同胞参加由清化边防部队开办的扫盲班

扩展“点亮边境村”模式

各边境哨所与清化省边境地区政府通过“点亮边境村”模式配合建设与生产发展相关的农村基础设施。

香甜的美湫粿条

香甜的美湫粿条

美湫粿条有着熟悉亲切的味道,让人想起水乡地带,多年来一直是九龙江三角洲的著名菜肴。

越南政府总理范明政对洪水和山体滑坡灾害中营救奠边省车容乡杭普喜村90 名村民的村长莫阿诗予以鼓励表扬。图自越通社

村长莫阿诗营救 90 名村民免遭洪水侵袭

2025年8月1日凌晨3时,奠边省车容乡杭普喜村持续遭遇强降雨。当雨水开始涌入屋里时,26岁的杭普喜村村长莫阿诗(Mùa A Thi)判断极有可能发生危险灾害,尤其是该村另一侧地势陡峭、靠近溪流的居民区。他立即联系了村民,并要求他们紧急撤离。

得乐省成一坊卫生站在重点疫区喷洒化学药剂

得乐省主动防控登革热疫情

据得乐省疾病控制中心的消息,截至8月21日全省已有3390例登革热病例,主要集中在邦美蜀、克容帕、格姆阿、邦敦、绥安、绥和等地。

何丽艳导演于2025年5月参加由越南妇女博物馆主办的“走得更远-绽放光芒”座谈会,并与少数民族儿童进行交流互动。图自越通社

乡情满满的岱依族女导演

凭借在阿姆斯特丹国际纪录片电影节(IDFA)获得的奖项以及入围奥斯卡提名名单的电影作品,来自新太原的岱依族导演何丽艳正逐步在世界顶级影坛上擦亮自己的名片。

厨房里飘出的炊烟,弥漫在土墙屋的阴阳瓦屋顶上。

宣光省赫蒙族文化遗产——土墙屋

世代代生活在河江岩石高原(现属宣光省)的赫蒙族始终保留着独特的风俗习惯和文化特色。其中,土墙屋以其独特、与众不同、坚固耐用的建筑风格令游客惊叹不已。

安沛省木江界高原地区赫蒙族儿童上学、与老师和同学相见的喜悦。图:丁垂

幸福指数——从决议到生活实践

安沛省是全国首个将幸福指数纳入2020-2025年任期越共安沛省代表大会的决议中的的地方。该省确定“提高人民幸福指数”是发展战略中的关键任务和核心价值。

昆嵩省人民为消除贫困户临时住房和危旧房捐出一天工资。

努力帮助昆嵩省贫困者安居乐业

为了实施决心在2025年6月30日前完成临时住房和危旧房清零任务,昆嵩省正在继续努力动员省内外各组织、个人的资源,并结合各项目的资金来帮助当地贫困者消除临时住房和危旧房。

工人们正在采摘蔬菜,提供给林同省单阳县的蔬菜工厂

农产品加工技术投入成效显著

农业以及农产品加工产业是林同省经济的支柱。近年来,诸多单位和企业注重对深加工技术进行投资,为当地农业可持续发展作出了贡献。

何尊权美食街于2023年12月底正式成立,街区内的商户大多是长期居住于此的华人家庭,以经营各类中华传统美食为主,并拥有悠久的传统历史。

胡志明市的华人美食街

胡志明市不仅是多元文化交汇之地,也是美食爱好者的理想目的地。其中,第十一郡的何尊权街被誉为充满华人风味的“饺子天堂”。

高棉僧侣和信徒在罗寺后院2000多平方米的田地上热情地插秧的景象,其描绘出一幅宁静而又生机勃勃的乡村画卷。

在高棉族寺田地上插秧

在安江省靖边市(县级)安居乡罗寺田地上插秧是一项具有高度社区精神的特色文化活动,再现了七山地区高棉族同胞劳动和生产之美。多年来,这种习俗仍然得到保留和发扬,成为人们与寺庙、宗教与生活之间密切相连的象征。

斯丁族文化保护区是一个生动再现斯丁族族人日常生活、风俗习惯、节庆和民间艺术的地方

怀念本波村的舂米声

在这个历史性的四月里,位于平福省布当县平明乡本波(Bom Bo)村的斯丁族(S’tiêng)文化保护区充满了编织和舂米等体验活动的热闹气氛,吸引了许多国内外旅游团来这里参观旅游。他们来到这里的目的是重温斯丁族人在抗战时期的英勇豪迈历史,观看战争纪念品或沉浸在斯丁族独特、多元的文化之中。

长沙边防哨所干部和战士们一直与渔民团结一道,并支持越南渔民靠海谋生。

维护国家领土完整和边境安全

边防部队于1959年3月3日成立。经过66年的建设、战斗与成长,边防部队一向出色地完成被交付的一切任务,坚定维护国家主权、领土完整和边境安全。

河江省渭川县基层医疗卫生机构的体检和治疗质量不断提高,前来接受健康检查、治疗的患者数量呈大幅增长趋势。

越南最北端的基层医疗卫生机构

越南最北端的省份--河江省目前共同居住着19个民族,总人口超过87.7万余人,其中少数民族占87.7%。该省贯彻落实党和国家关于少数民族地区发展的政策,一向重视巩固基层医疗卫生机构网络,为减轻上级医院压力作出了贡献。

江氏够走访慰问并向得乐省偏远地区各村寨儿童赠送慰问品。

热衷于志愿服务活动的赫蒙族女生

充满活力且热血沸腾的西原大学经济系三年级学生、邦美蜀赫蒙族大学生俱乐部主任江氏够已同有关各方联系并开办了多项公益志愿活动。

柿子在塑料薄膜温室中悬挂约 20 天,温度保持在 25-30°C,湿度低于 70%,以确保最佳品质

大叻高原上的礼物

富禄风干柿子是林同省大叻市富禄风干柿子厂的产品。在这里,柿子在按照果实的大小和硬度进行分类后,会经过初级加工和消毒,然后被挂在架子上,送入风干车间,大约20天后将可收获,随后把其包装好并进行真空密封,便于为消费者提供服务。

山羊样子模式。

可持续减贫工作的亮点

从薄辽省福龙县贫困率最高的乡份之一,兴富乡通过采用适宜有效的生产模式现已“换台脱骨”,成为薄辽省可持续减贫工作的亮点。

昆嵩省都莫龙县蒙理乡普谢村有威望人士耶·赫朗女士引导乡民织布,为维护色当族文化特色做出贡献

少数民族同胞的坚固“支点”

昆嵩是一个位于西原北部的山区边境省,全省总人口约为597000人,其中少数民族人占到54%以上,共同居住着43个民族同胞,近20%的边境居民是宗教信徒。

充分体现“党心民心”的最明显证明就是以甜竹种植来实现脱贫济困。

安沛省文振县布溪乡人民跟随党实现脱贫攻坚战

安沛省文振县布溪乡共同居住着蒙、京、岱依、傣和嘉莱等5个兄弟民族同胞,其中蒙族人占总人口的75%。作为一个特别贫困的山区乡,但由于拥有一支强有力的党组机构以及孜孜不倦地挨家挨户了解、倾听意见并与民族同胞交流,从而提供经营活动方式的干部和党员,因此当地人民的生活水平不断提高。

一一条洁白的椰子肉伴随着糖的甜味和椰肉的香浓。

新春将至西南部地区年味浓浓

椰子角原本是越南西南部充满新春年味的特产。老太太、妈妈和姐妹们利用现有的原料,通过自己灵巧双手制作出甜蜜满溢的椰子角。

游客参观沙沥花村并拍照留念。

春节来临之际走进沙沥花村

同塔省沙沥市沙沥花村原名新归东花村,是已有100多年历史的花村。该村坐落在前江河畔,被誉为花卉与观赏植物之都。

若查姆·朱克村长始终以身作则,在实施“改变少数民族同胞思维方式和做法,帮助他们一步步摆脱贫困,迈向可持续发展的”运动中走在前列

若查姆·朱克--嘉莱族人的光辉榜样

积极动员人民发展经济,建设新农村,出生于1982年的嘉来省波来古市芝陵坊查姆·阿内(Châm Aneh)村村长若查姆·朱克(Rơ Châm Djuk)先生多年来一直是嘉莱族人的光辉榜样。

游客参观沙沥花村并拍照留念。

春节来临之际走进沙沥花村

同塔省沙沥市沙沥花村原名新归东花村,是已有100多年历史的花村。该村坐落在前江河畔,被誉为花卉与观赏植物之都。

知尊县朱凌乡周淑杰(音译Chau Sóc Chiếp)棕榈糖作坊

来到安江了解棕榈糖制作过程

安江省知尊县和净边县的七山地区被视为是棕榈树之乡。世世代代,棕榈树一直与七山人,尤其是高棉族同胞的物质和精神生活息息相关。

开展提升上小学一年级儿童越南语能力工作,确保为6岁少数民族儿童上学做好准备

给昆嵩省少数民族学生教越南语

截至目前,各所学校已营造加强越南语环境,如多功能图书馆、绿色图书馆、在各村寨的社区图书馆。教师队伍培训工作获昆嵩省教育机构的关注。

得乐省医务人员同基层合伙人配合检查敦促人民开展预防登革热扩散蔓延的措施

得乐省加强登革热防控工作

据得乐省疾病控制中心的统计数据显示,自年初至今,该省全部15个县市均报告出现登革热病例,共2700多例。7月和8月登革热病例快速增长。特别,9月28日,帮湖市(Buôn Hồ)出现了第二个登革热死亡病例。

麻氏槟姐(中)同参加巴天族刺绣和传统纺织培训班学员们。

热衷于巴天族服饰的岱依族妇女

宣光省林平县红光乡上明村共有170户家庭,其中90%以上的家庭户为巴天族同胞。麻氏槟是近20年来嫁到上明村的岱依族人。她凭借精巧、勤劳,学会了巴天族的传统织锦技艺。